ÖncekiSonraki
Detay Kıbrıs
  • DİĞER GALERİLER
  • TÜMÜNÜ GÖSTER
  • TAM EKRAN YAP

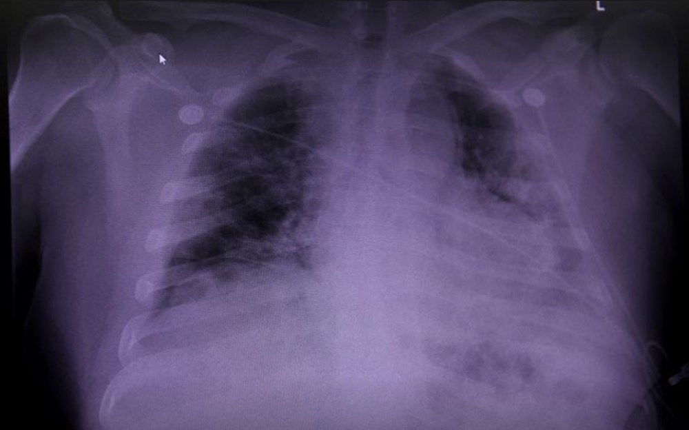
Covid-19'dan ölenlerin organları analiz edildi.Neler değişmiş?

Reklamı Geçmek İçin Tıklayınız

haci_ali_gonyeli.gif

Covid-19'dan ölenlerin organları analiz edildi.Neler değişmiş? galerisi resim 8

haci_ali_gonyeli.gif

Foto Galeri» HABER

Semptomların sekiz hafta ya da daha uzun sürmesiyle, “uzun süreli Covid-19” durumu ortaya çıkıyor. 

 

İngiliz bilim insanları, corona virüsün akciğerlerde yarattığı tahribat ile uzun süreli Covid-19 arasındaki ilişkiyi inceledi.
09 Kasım 2020 Pazartesi 20:59
8 / 10