ÖncekiSonraki
Detay Kıbrıs
  • DİĞER GALERİLER
  • TÜMÜNÜ GÖSTER
  • TAM EKRAN YAP

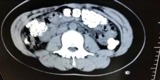
Kabızlık sebebiyle gitti, midesinden çıkanlar doktorları bile şaşırttı

Kabızlık sebebiyle gitti, midesinden çıkanlar doktorları bile şaşırttı galerisi resim 5

haci_ali_gonyeli.gif

Foto Galeri» SAĞLIK

14 yaşındaki kıza tedavi uygulandı ve sindirim sistemini tıkayan toplardan kurtulması sağlandı.

Çin'de 14 yaşındaki Xiao Shen, 4 gün boyunca kabızlık çekince hastaneye kaldırıldı. Midesinden öyle bir şey çıktı ki doktorlar bile şoke oldu.
06 Kasım 2019 Çarşamba 22:00
5 / 11