Kabızlık sebebiyle gitti, midesinden çıkanlar doktorları bile şaşırttı
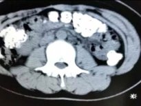
Kabızlık şikayetiyle Doğu Çin'in Zhejiang Eyaletindeki Zhuji Halk Hastanesi'ne kaldırılan Xiao Shen'in midesinden 100 'Tapioca' denilen jelibon toplarının yapıştığı saptandı. Jelibon toplarının mideye yapışma sebebi ise doktorları bile şoke etti.
Çin'de 14 yaşındaki Xiao Shen, 4 gün boyunca kabızlık çekince hastaneye kaldırıldı. Midesinden öyle bir şey çıktı ki doktorlar bile şoke oldu.
06 Kasım 2019 Çarşamba 22:00
1 / 11












