Erkeklere yönelik cinsel iktidarsızlık hapı olan Viagra alan bir adam yaşamını yitirdi…
Tıp literatürüne giren olay Hindistan’da meydana geldi. Bir kadınla otele giden 41 yaşındaki adam alkollü olduğu sırada cinsel iktidarsızlık hapı aldıktan sonra fenalaştı.
Kanında Viagra’da da bulunan sildenafil isimli madde çok yüksek oranlarda bulunan ve ismi açıklanmayan adam ertesi sabah baş ağrısı ve kusma belirtileri gösterdikten sonra iyi olduğunu söylese de olay yerine gelen ekipler adamı hastaneye götürdü.
Ambulansa binmeden önce, daha önce de benzer bir şekilde rahatsızlandığını söyleyen adam hastaneye giderken yaşamını yitirdi. Journal of Forensic and Legal Medicine isimli dergide yayınlanan makalede vaka detaylı bir şekilde incelendi.
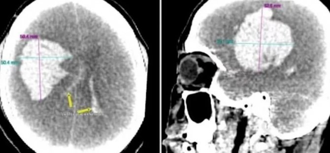
Bilim insanları ve uzmanlar, adamın beyninde serebrovasküler kanama meydana geldiği belirtilirken damarların patladığı kayıtlara geçti. Yapılan otopsi taramalarında adamın beyninde 300 gram kan pıhtısı oluştuğu açıklandı. Patologlar, adamın yaşadığı rahatsızlığın alkol ve ilacın etkisi olduğunu öne sürerken, “Damarlarında daha önce de görülen düzensizlik ile birlikte kanama gerçekleşmiş olabilir” dedi.





















-001.gif)





































Türkçe karakter kullanılmayan ve büyük harflerle yazılmış yorumlar onaylanmamaktadır.