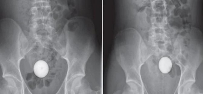
Avustralya'da 14 yaşında bir gencin anüsüne giren nesne, röntgen filmlerine bakıldığında pek anlaşılmıyor. İlk başta bunun bir yumurta olduğu sanılabilir ancak gencin vücuduna giren bu şey bir beyzbol topu.
Genç erkek çocuğu, beyzbol topunun anüsünden içeri kaçtığını ve geri çekemediğini fark edince büyük panik yaşayarak annesiyle beraber soluğu hastanede aldı. Çekilen röntgenlerde topun çocuğun bağırsaklarına yerleştiği görüldü.
İlaç yardımıyla topu çıkarmaya çalışan doktorlar bunu başaramayınca birçok yöntem denedi ancak hiçbiri sonuç vermedi. Topun bağırsaklarda ilerleyerek rektuma kadar gittiği görüldü.

Doktorların topu çıkarmak için denediği agresif yöntemler işe yaramadı.
Agresif yöntemleri bırakıp topun kendiliğinden çıkmasını bekleyen doktorlar, topun 24 saat sonra hâlâ bağırsaklarda olduğunu görünce yeni yöntemler üzerine düşünmeye başladı. Ailenin ameliyata karşı çıkmasının ardından doktorlar çocuğa mide boşaltmayı sağlayan bir litre müshil içirdi.
Sonuçta üç saat sonra yöntem işe yaradı ve beyzbol topu doğal yollarla dışarı çıktı. Çocuğun durumunun iyi olduğu ve taburcu edildiği açıklandı.
Doktorların çocuğa anüsüne yabancı maddeler sokmaması konusunda uyarıda bulunduğu da belirtildi.





















-001.gif)









































Türkçe karakter kullanılmayan ve büyük harflerle yazılmış yorumlar onaylanmamaktadır.