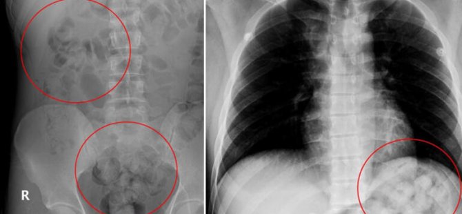
Ankara’da yabancı uyruklu Zadeh Ahmed Narziveh, şehirlerarası otobüs terminali AŞTİ’de fenalaştı. Hastaneye kaldırılan Narziveh’in çekilen röntgeninde midesinde uyuşturucu kapsülleri görüldü. Ameliyata alınan Narziveh’in midesinde 2’si patlamış, 72 kapsül halinde 890 gram uyuşturucu madde metamfetamin çıkarıldı.
Hürriyet'ten Fevzi Kızılkoyun'un haberine göre, narkotim ekiplerinin gözetiminde 5 gün hastanede tedavi gören Narziveh, iyileşince hastaneden taburcu edildikten sonra, gözaltına alınarak emniyete götürüldü. Yapılan sorgusunda “susma” hakkını kullanan Narziveh, ifade vermedi.
Narkotim ekipleri, Narziveh’in bağlantılarını belirlemek, uyuşturucuyu kimden aldığı, nereye götürdüğünü ortaya çıkarmak için çalışma başlattı. Yapılan incelemelerde Narziveh’in İstanbul’dan Van’a gittiği, burada İran üzerinden Türkiye’ye sokulan uyuşturucu kapsüllerini yuttuğu belirlendi. Narziveh’in, midesindeki 1 kiloya yakın uyuşturucuyla Van’dan otobüse binerek İstanbul’a gitmek için yola çıktığı kaydedildi.





















-001.gif)










































Türkçe karakter kullanılmayan ve büyük harflerle yazılmış yorumlar onaylanmamaktadır.